neuroradiology multilingual

neuroradiology multilingual

厂商: Minoru OIshi

13171 人浏览 0 人参与讨论

开发者的话:

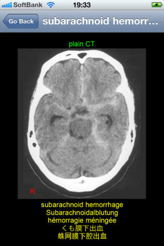
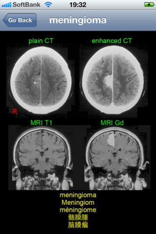
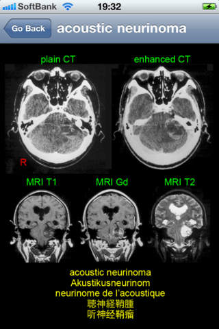
This application is developed to study neuroradiology in English, German, French, Japanese, and Chinese for medical students and professionals such as physicians and nurses. It consists of 26 diagnosis: acoustic neurinoma, acute epidural hematoma, ADEM, aneurysm, arachnoid cyst, arteriovenous malformation, astrocytoma, cerebellar atrophy, cerebral embolism, cerebral hemorrhage, cerebral infarction new and old, cervical disc herniation, chronic subdural hematoma, colon carcinoma metastasis, depressed skull fracture, glioblastoma multiforme, hemorrhagic infarction, meningioma, multiple sclerosis, OPLL, osteoma, pineal cyst, pontine hemorrhage, putaminal hemorrhage, subarachnoid hemorrhage, and syringomyelia.

简介

最近更新

Version 1.1 is a universal application.

详细信息

  • 文件大小 : 6.0 MB
  • 当前版本 : 1.1
  • 更新时间 :
  • 厂商:

热门游戏

最新发布