截骨计划神器 - OsteotoMeter

截骨计划神器 - OsteotoMeter

厂商: Chu An Luo

48697 人浏览 0 人参与讨论

开发者的话:

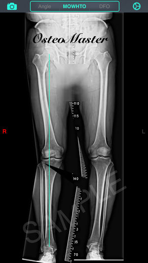
‎截骨神器 - 用于高胫骨截骨术(HTO)和股骨远端截骨术(DFO)的手术前术前规划工具。 特征: 1. 测量骨骼的解剖或力学軸角度,只需通过相机或照片库输入图像。 2. 计算术前负重线(WBL)和规划目标WBL。 3. 自动计算截骨矫正角度、楔块高度、切锯深度与脚长变化。 4. 设定期望WBL,矫正角度,缺口高度,MPTA或LDFA 5. 提供開放(open)或閉合(close)、内侧(medial)或外侧(lateral)截骨。 6. 模拟截骨调整后结果。 教学視頻:https://v.qq.com/x/page/h0527kc4vj1.html 簡体用户指南:http://pan.ba…

简介

详细信息

  • 文件大小 : 23.7 MB
  • 当前版本 : 2.1.2
  • 更新时间 :
  • 厂商:

热门游戏

最新发布